Heel pain – A patient’s experience
Blog, Heel Pain, Shockwave, Sports Care
How Fiona beat Heel pain!
Fiona is a 43 year old lady with two teenage daughters and a busy household. In the past six months she has returned to exercise by joining a gym, which she is …. or was really enjoying.
Lately she has been waking up in the morning, placing her heels on the ground, only to get what she describes as "excruciating pain". She feels the same pain if she sits for long periods and tries to stand: the pain, while not as bad as those first few step in the morning, can make her hobble. This is now a BIG problem as she was really enjoying her return to fitness and wants to see what she can do to rid herself of the pain.
A visit to the GP
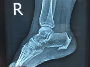
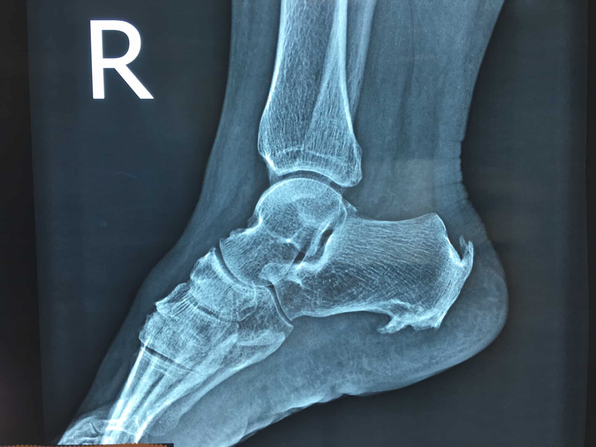
She visited her GP who spoke to her about a heel spur, he took x-rays and indeed there was a heel spur in the picture. He explained to her that generally very few surgeons will operate on heel spurs and there is little she can do but wait out the pain which on average would go away after about 18 months! He did give her some general stretches and said he could try an injection if she really wanted, but it was painful!
Fiona also went to the chemist to try to buy some heel pads to take pressure of the heel. She tried these for about a month. While they worked for a short while, the pain quickly returned. She also tried some very cushioned shoes, again while this was comfortable at first within a short period of time this very expensive pair of sneakers gave little relief.
On attending an appointment at A step Ahead Foot and Ankle care Fiona was just about to give up. A friend referred her after they had suffered a similar pain and our podiatry team had made her pain free.
A diagnosis
Our Podiatrist, after a thorough assessment, diagnosed Fiona with plantar fasciitis. Plantar fasciitis is a soft tissue condition of the underside of the foot starting at the heel, where much of the pain is located, however the pain can radiate out towards the toes where the fascia again ends. The pain can begin quiet subtly at first and can last on and off for many patients for many years.
Treatment
We discussed a treatment plan with Fiona to rid her of her heel pain, this included looking at some new more appropriate runners, a series of stretches, and soft tissue treatment options. Our Podiatrist provided Fiona with options which included:
- Deep connective tissue massage – This is a firm to hard massage which is in this condition under taken on the base of the foot around the heel and into your calf muscle as this is almost always also tight. These session can range from as short as one a week for 3 weeks but up to 12 – 18 weeks long, dependent on how long your pain has been present.
- Shockwave Therapy (Extracorporeal Shockwave Therapy (ESWT)) – Shockwave is a relatively new treatment which we have found very successful. The basic principles behind shockwave therapy are the high pressured acoustic shockwaves that travel through the skin to stimulate pain relief and tissue repair. We have found this treatment very successful and sees patients recover quicker. Most patients like Fiona recover within 6 to 9 weeks. This treatment is often recommended by sport physicians and orthopaedic surgeons. (Be warned - How long has your Practitioner been using this?)
- Orthotic therapy – Orthoses are designed to hold your feet in a “corrected position”. Feet that are in poorly positioned or have poor foot posture have to over work which in turn causes muscles to over work and is most often the reason why people develop foot pain. While there are varying devices that do this there is no replacing custom made orthoses. These devices are made to match your foot exactly. - HARD RIGID orthotics can cause you MORE PAIN!! Soft pliable devices are the way to go!
A choice
In this instance Fiona opted for the quicker Shockwave therapy and orthotic therapy. Her podiatrist helped her select the correct foot wear to purchase from a footwear retailer. We then also provided her with an Isometric Strength exercises - NO NOT STRETCHES! that's right NOT stretching! Our team worked with Fiona to build up her strength readying the surrounding muscles for its work ahead at the same time as repairing the damaged tissue. On each occasion of shockwave reviewed these and provided supportive sports tapping to further support her foot.
A recovery
Fiona attended for shockwave over a period of five weeks and made good progress over that time with her pain dropping slowly over the first two weeks and then quickly once combined with her orthoses and more appropriate footwear.
At week five it was decided to push her appointments out to fortnightly and then when this was found successful out again another month. In total Fiona attended a total of seven times before her pain was relieved completely.
We introduced Fiona slowly back to attending the gym, with strict instruction on stretching and appropriate footwear for her foot type. Fiona made a full recovery and with a month had returned to three gym sessions a week and a walk with friends for exercise on weekends.
Interested in more information? How about the common myths around heel pain?
Try our Dedicated Heel Pain Doctor site. HEEL PAIN DOCTOR.COM.AU
Or call our helpful team who are used to speaking to literally thousands of patients with heel pain! Our number is 02 9673 2987. We would love to help!







